FRONTIERS IN MEDICAL CASE REPORTS - Volume 6; Issue 4, (Jul-Aug, 2025)
Pages: 01-09
Print Article
Download XML Download PDF
A Case Report of Posterior Reversible Encephalopathy Syndrome (PRES) Following Severe Preeclampsia: Insights into Early Diagnosis and Management
Author: Bassam Gh. Nasereddin, Oday M. B. Zuhour, Yasmeen S. Ashhab
Category: Medical Case Reports
Abstract:
Preeclampsia and eclampsia are severe hypertensive disorders of pregnancy that can result in significant maternal and fetal complications, including organ failure, seizures, and death. One rare but serious neurological complication associated with these conditions is Posterior Reversible Encephalopathy Syndrome (PRES), which is characterized by cerebral edema and visual disturbances. We present the case of a 47-year-old woman with severe preeclampsia who developed PRES following a cesarean section. The patient, with a history of pregnancy-induced hypertension and gestational diabetes mellitus, presented with severe headache and epigastric pain at 36+1 weeks of gestation. After being diagnosed with severe preeclampsia and failing to respond to conservative management, a cesarean section was performed. Despite blood pressure management, the patient developed a generalized tonic-clonic seizure and significant loss of vision 24 hours postoperatively. A CT brain scan revealed bilateral hypodense areas in the subcortical white matter, consistent with PRES. The patient’s visual symptoms gradually improved over two days with appropriate management, including blood pressure control and seizure management. This case emphasizes the importance of early recognition and management of PRES in patients with severe preeclampsia and eclampsia. Early intervention and neuroimaging can help prevent long-term neurological sequelae, and the majority of patients experience full recovery with appropriate care.
Keywords: Preeclampsia, Eclampsia, PRES, Seizures, Visual Disturbances, Hypertension, Cesarean Section, Neurological Complications, Blood Pressure Management
Full Text:
Introduction
Preeclampsia and eclampsia are severe hypertensive disorders of pregnancy that pose significant risks to both maternal and fetal health. These conditions are primarily characterized by elevated blood pressure, and in the case of eclampsia, the onset of seizures (Fox et al., 2019). A rare but concerning complication associated with both preeclampsia and eclampsia is Posterior Reversible Encephalopathy Syndrome (PRES), a neurological condition that affects a small percentage of patients. PRES is typically triggered by severe hypertension and is most commonly observed in individuals with preeclampsia and eclampsia.
Although PRES is rare, with fewer than 150 reported cases globally, it is often underrecognized. The syndrome can present with a broad spectrum of neurological symptoms, ranging from headache and confusion to visual disturbances, including blurred vision and even acute vision loss. Visual symptoms are observed in approximately 25% of preeclampsia patients and in up to 50% of those with eclampsia, with varying degrees of severity. Complete blindness remains uncommon, with an incidence of only 1-3%, but the potential for significant morbidity is considerable (Karrar et al., 2024).
The pathophysiology of PRES involves the disruption of the blood-brain barrier due to acute hypertension, leading to cerebral edema and altered cerebral perfusion. Neuroimaging typically reveals the characteristic findings of PRES, which often resolves within hours to days after delivery, frequently without the need for specific treatment. In most cases, patients experience full recovery, although in rare instances, permanent neurological deficits, including vision loss, may occur (Hinduja, 2020).
Given its potentially severe consequences, it is crucial for clinicians to recognize the early signs and symptoms of PRES in patients with preeclampsia or eclampsia. Timely diagnosis through neuroimaging, followed by appropriate management—including blood pressure control and close monitoring—can significantly improve outcomes for both mother and fetus (Parasher and Jhamb, 2020).
In this case presentation, we examine the clinical course of a 47-year-old woman with severe preeclampsia who developed PRES following a cesarean section, emphasizing the diagnostic and management considerations, as well as the patient’s recovery.
Case Presentation
A 47-year-old female, gravida 10, para 8, abortus 1, with a history of one cesarean section for fetal distress and seven vaginal births after cesarean (VBACs), presented at 36+1 weeks of gestation with complaints of severe headache and epigastric pain for the past three days. The patient had a history of gestational diabetes mellitus (GDM) in the current pregnancy, which was managed with diet alone, and she was off medication at the time of presentation. She had developed pregnancy-induced hypertension (PIH) two weeks prior, which was also managed without medication.
Her past medical history included asthma, which had been controlled for 20 years with Miflonide. She had a previous surgical history of an evacuation and curettage (E&C) due to a miscarriage and a cesarean section. She had an allergy to magnesium sulfate. On examination, the patient appeared well, with vital signs showing a blood pressure of 180/110 mmHg, pulse of 82 bpm, temperature of 36.2°C, and oxygen saturation of 97% on room air. Abdominal examination revealed a soft, lax abdomen.
Ultrasound findings revealed a single viable fetus (SVF), a positive fetal heart (FH), cephalic presentation, estimated fetal weight (EFW) of 2400 g, and adequate amniotic fluid (AAF). Pelvic examination showed a 1 cm dilated, posterior, thick, long cervix with the fetal head at -3 station.
The patient was admitted with a diagnosis of severe preeclampsia with severe features (PET with severe features) for stabilization and delivery.
Laboratory investigations revealed the following:
- Renal function:
- Serum creatinine: 0.68 mg/dL
- Blood urea nitrogen (BUN): 6 mg/dL
- Liver function:
- SGPT: 16 U/L
- SGOT: 30 U/L
- Uric acid: 7.5 mg/dL (elevated)
- Urinalysis:
- Protein ++
- WBC: 4-6 per high-power field
- RBC: 2-3 per high-power field
- Complete blood count (CBC):
- Hemoglobin: 13 g/dL
- Platelets: 213 x 10³/µL
- Coagulation profile:
- PT: 12.1 sec
- PTT: 22.7 sec
- INR: 0.85
- Fibrinogen: 518 mg/dL
- Blood glucose: Positive
- HbA1c: 4.6% (within normal range)
The diagnosis of severe preeclampsia was confirmed with elevated blood pressure, proteinuria, and associated symptoms. As the patient’s condition failed to improve with conservative management, a decision was made to proceed with cesarean section.
A cesarean section was performed due to the persistent severe preeclampsia with failure to resolve symptoms. The patient was started on intravenous diazepam 10 mg in 500 mL normal saline over 12 hours postoperatively. Despite blood pressure management, the patient’s blood pressure remained elevated at over 160/100 mmHg. Hydralazine 40 mg in 500 mL normal saline at a rate of 30 mL/h was administered, but blood pressure remained inadequately controlled. Subsequently, nifedipine 30 mg orally was given twice.
Twenty-four hours after the cesarean section, the patient developed a generalized tonic-clonic seizure lasting one minute, consistent with an eclamptic fit. The seizure was promptly managed with 10 mg of intravenous diazepam. Following the seizure, the patient experienced sudden and significant loss of vision, which persisted for two days.
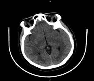
The patient was transferred to the Surgical Intensive Care Unit (SICU) for further management. A CT brain scan (Fig. 1) was performed, which revealed:
- Bilateral hypodense areas in the subcortical white matter of the parietal and occipital lobes, more prominent in the occipital region
- Diffuse sulcal effacement with preserved gray-white matter differentiation
- No evidence of intracranial hemorrhage, territorial infarction, mass effect, or midline shift
- Well-aerated paranasal sinuses and mastoid air cells
Due to the persistence of neurological symptoms, a brain MRI (Fig. 2) was also conducted. The MRI findings included:
- Multifocal areas of abnormal signal intensity involving both the occipital and parietal lobes, distributed cortically and subcortically, causing gyral swelling
- Hyperintense lesions on T2-weighted and FLAIR sequences, consistent with vasogenic edema
- No restricted diffusion or susceptibility artifact, indicating absence of infarction or hemorrhage
- No midline shift
- Normal brainstem, cerebellum, and ventricular system with no hydrocephalus
- An incidental 1 cm retention mucous cyst in the left maxillary sinus
- Remaining paranasal sinuses and mastoid air cells were well aerated
These MRI findings were diagnostic of Posterior Reversible Encephalopathy Syndrome (PRES).

Figure 1: CT image showing bilateral subcortical hypodensities.

Figure 2: MRI image showing cortical/subcortical lesions in the occipital lobes.
The management of PRES is centered on the control of blood pressure, seizure prevention, and supportive neurological care. In this case, the patient’s treatment plan included:
- Antihypertensive Therapy:
- Intravenous hydralazine (40 mg in 500 mL NS at 30 mL/h)
- Oral nifedipine 30 mg twice daily
- Frequent blood pressure monitoring to maintain systolic pressures below 150 mmHg and diastolic below 100 mmHg
- Seizure Management:
- Intravenous diazepam (10 mg) administered acutely following the generalized tonic-clonic seizure
- Magnesium sulfate, a first-line agent for eclampsia, was contraindicated due to allergy
- Continuous clinical and electroencephalographic monitoring were considered but not required due to rapid postictal recovery
- Neurological monitoring and supportive care:
- Transfer to SICU for close observation
- Serial neurologic exams
- Neuroimaging with CT and MRI to confirm the diagnosis and rule out infarction, hemorrhage, or mass lesions
- Visual assessment and reassurance, as vision loss in PRES is typically reversible
The patient’s vision began to improve within 48 hours of initiating targeted management. Over the following days, she experienced full neurological recovery, consistent with the natural course of PRES when treated promptly
Discussion
Preeclampsia and eclampsia are hypertensive disorders of pregnancy that pose significant risks to maternal and fetal health, leading to a variety of complications, including organ damage, seizures, and in severe cases, death. One of the rare but serious neurological complications associated with preeclampsia and eclampsia is Posterior Reversible Encephalopathy Syndrome (PRES), a condition that results from a disruption in cerebral blood flow, often triggered by severe hypertension (Magee et al., 2015). This case highlights the development of PRES in a 47-year-old woman with severe preeclampsia following a cesarean section, underscoring the importance of early recognition, diagnosis, and management in preventing long-term neurological sequelae.
PRES is typically associated with acute, severe hypertension and is most commonly observed in women with preeclampsia and eclampsia, as well as in those with other conditions associated with elevated blood pressure, such as renal disease and immunosuppressive therapy. The condition is thought to result from a breakdown of the blood-brain barrier (BBB), leading to vasogenic edema, particularly in the posterior regions of the brain. The occipital lobes are most commonly affected, which explains the characteristic visual disturbances that occur in a significant proportion of patients with PRES (Marra et al., 2014). In this case, the patient developed visual loss, which was likely due to edema affecting the occipital cortex. The CT scan findings of bilateral hypodense areas in the subcortical white matter and the mild brain edema are consistent with the pathophysiology of PRES.
PRES can manifest with a variety of neurological symptoms, ranging from headache and confusion to more severe manifestations, such as seizures and visual disturbances (Dimitriadis et al., 2023). In this patient, the clinical course was consistent with typical PRES presentations. Initially, the patient presented with severe headache and epigastric pain, both of which are common symptoms of severe preeclampsia. These symptoms were followed by the onset of seizures (eclamptic fit) and significant loss of vision, all of which are characteristic features of PRES. Visual disturbances are particularly notable, occurring in about 25% of preeclampsia cases and 50% of eclampsia cases. In this patient, the visual loss was transient and resolved within two days, which is typical for PRES (Abu Samra, 2013). Despite the temporary nature of the visual disturbances, the symptoms had a profound impact on the patient’s quality of life, highlighting the importance of managing these complications promptly.
The management of PRES focuses on controlling the underlying hypertension, as well as addressing seizures and other symptoms. In this patient, blood pressure control was initiated with hydralazine and nifedipine, which are commonly used in the management of severe hypertension in the context of preeclampsia and eclampsia. However, despite initial blood pressure control, the patient developed a generalized tonic-clonic seizure, consistent with an eclamptic fit, which required the administration of intravenous diazepam for seizure control. This underscores the need for vigilant monitoring in the immediate postpartum period, particularly in patients with severe preeclampsia or eclampsia who are at risk for seizures.
Neuroimaging, particularly MRI and CT scans, plays a crucial role in diagnosing PRES and differentiating it from other neurological conditions that can arise in the setting of severe hypertension, such as intracranial hemorrhage or stroke. In this case, the CT brain scan revealed bilateral hypodense areas in the subcortical white matter of the occipital and parietal lobes, a finding that is highly suggestive of PRES. While CT can identify structural changes associated with PRES, MRI is generally considered more sensitive and can provide more detailed information regarding the extent and location of the edema. The absence of intracranial hemorrhage, territorial infarction, and space-occupying lesions in the imaging further supported the diagnosis of PRES and helped exclude other potential causes of the patient’s neurological symptoms.
The prognosis of PRES is generally favorable, especially when recognized early and treated promptly. Most patients experience complete resolution of symptoms, including visual disturbances, within hours to days following the correction of hypertension (Hart and Sibai, 2013). In this case, the patient’s visual symptoms gradually improved over two days, which is consistent with the typical course of PRES. While complete blindness is a rare outcome (1-3% of cases), the potential for significant morbidity in terms of temporary visual loss and seizures should not be underestimated (Kalaiselvan et al., 2017). Furthermore, although PRES is reversible in the majority of cases, delayed recognition or inadequate management can lead to permanent neurological damage, particularly if hypertension is not promptly controlled (Deshmukh et al., 2022).
Conclusion
Preeclampsia and eclampsia are serious hypertensive disorders of pregnancy that can lead to severe complications, including Posterior Reversible Encephalopathy Syndrome (PRES). Early recognition of PRES in patients with severe preeclampsia or eclampsia is crucial to prevent long-term neurological damage. This case highlights the importance of prompt diagnosis through neuroimaging, effective blood pressure management, and timely intervention to manage seizures. Despite the rare occurrence of PRES, the prognosis is generally favorable with appropriate management, emphasizing the need for vigilant monitoring and early therapeutic interventions in these high-risk pregnancies.
Patient Consent: Written informed consent was obtained from the patient for publication of this case report and any accompanying images.
Ethical Approval: This case report was reviewed and approved by the Ethics Committee of Al Ahli Hospital, Hebron, Palestine. The research was conducted in accordance with ethical standards and institutional guidelines.
Conflict of Interest: The authors declare no conflict of interest in the publication of this case report.
References:
Abu Samra K. The eye and visual system in the preeclampsia/eclampsia syndrome: What to expect? Saudi J Ophthalmol 2013; 27: 51-53.
Deshmukh V, Gangurde VR, Gadappa S. Maternal and Perinatal Outcome of Posterior Reversible Encephalopathy Syndrome (PRES) in Patients with Eclampsia at Tertiary Health Care Centre. J Obstet Gynaecol India 2022; 72: 192-197.
Dimitriadis E, Rolnik DL, Zhou W, Estrada-Gutierrez G, Koga K, Francisco RPV, Whitehead C, Hyett J, da Silva Costa F, Nicolaides K, Menkhorst E. Pre-eclampsia. Nat Rev Dis Primers 2023; 9: 8.
Fox R, Kitt J, Leeson P, Aye CYL, Lewandowski AJ. Preeclampsia: Risk Factors, Diagnosis, Management, and the Cardiovascular Impact on the Offspring. J Clin Med 2019; 8: 1625.
Hart LA, Sibai BM. Seizures in pregnancy: epilepsy, eclampsia, and stroke. Semin Perinatol 2013; 37: 207-224.
Hinduja A. Posterior Reversible Encephalopathy Syndrome: Clinical Features and Outcome. Front Neurol 2020; 11: 71.
Kalaiselvan MS, Renuka MK, Arunkumar AS. Clinical Features and Outcomes of Patients with Posterior Reversible Encephalopathy Syndrome. Indian J Crit Care Med 2017; 21: 453-456.
Karrar SA, Martingano DJ, Hong PL. Preeclampsia. [Updated 2024 Feb 25]. In: StatPearls [Internet]. Treasure Island (FL): StatPearls Publishing; 2025 Jan-. Available from: https://www.ncbi.nlm.nih.gov/books/NBK570611/
Magee LA, Pels A, Helewa M, Rey E, von Dadelszen P; Canadian Hypertensive Disorders of Pregnancy (HDP) Working Group; Canadian Hypertensive Disorders of Pregnancy HDP Working Group. The hypertensive disorders of pregnancy (29.3). Best Pract Res Clin Obstet Gynaecol 2015; 29: 643-657.
Marra A, Vargas M, Striano P, Del Guercio L, Buonanno P, Servillo G. Posterior reversible encephalopathy syndrome: The endothelial hypotheses. Med Hypotheses 2014; 82: 619-622.
Parasher A, Jhamb R. Posterior reversible encephalopathy syndrome (PRES): presentation, diagnosis and treatment. Postgrad Med J 2020; 96: 623-628.
|